Call now on 01423 563344
info@cloverhouse.co.uk
  • About
  • Treatments
  • Straighter Teeth
  • Emergencies
  • Fees
  • Facial Aesthetics
  • Contact
  • Book an appointment now!
Facebook Twitter Instagram Youtube Linkedin
Return to previous page
Home Treatments

Crowns

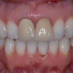
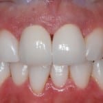
What is a Crown?

A crown, (sometimes known as a ‘cap’) can be used to restore damaged or weakened teeth, or it can be used to reshape teeth for cosmetic reasons. Crowns can be made using gold alloys, porcelain, ceramics, or a combination of materials. We can help you decide which type of crown is best for you.

The tooth has to be prepared and shaped so that the crown will fit over it and look as it should. This may sometimes involve root-treating the tooth and strengthening the root with a post inside it. Sometimes, impressions are taken using a soft, mouldable material which is used to make a model of the tooth for the Dental Technician, who then makes a crown to fit. Often this is not necessary when using our one-visit CEREC ceramic crowns.

At the preparation visit, if impressions are needed, a temporary crown is made so that you don’t have a gap while the permanent one is made.





How long does it take?

It normally takes about 1 hour to prepare the tooth and take impressions. The impressions are sent to the lab and sent back to us within 10 days. We then need to see you again to fit the crown, after any adjustments that may be required. This takes about 30 minutes.

A crown will usually last for many years if you look after it well.

  • Emergencies
  • Opening Hours
  • Directions
  • Fees
  • Payment Options
  • The Team
  • Downloads
  • New Patients
  • Complaints Procedure
  • Privacy Policy
  • Cookie Policy
  • Bridges
  • CEREC Same day crowns and inlays
  • Cosmetic
  • Crowns
  • Dentures
  • Fillings
  • Implants
  • Invisible Braces
  • Inman Aligner
  • Prevention
  • Veneers
  • Whitening
  • Fastbraces

Reputation Reviews

Web design Yorkshire by Feel Design
We use cookies to ensure that we give you the best experience on our website. If you continue to use this site we will assume that you are happy with it.